ba7-copy
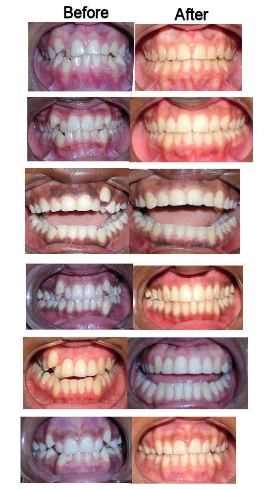
Crowded teeth are common. Mal-alignment of the teeth result in croockedness of the bite, with some teeth operlapping and crossing over each other. Teeth that are not straight reflect light erratically resulting in uneven shadows and contours which affect the attractiveness of the smile.
Some crowded cases, but not all, may require extractions to allow for the correction of the bite, and to provide space to allow for alignment & straightening of the teeth.
We have a number of different options and appliance types that are capable of correcting crowded & crooked teeth.
























