bucked1
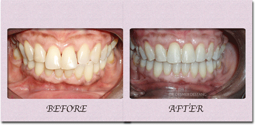
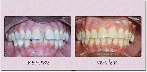
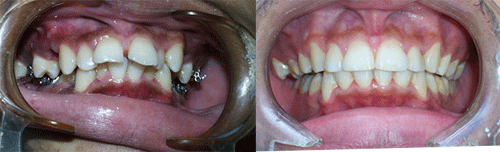
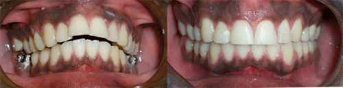
Protruded teeth (bucked teeth) happen when either the upper jaw is too far forward, the lower jaw is too far back, or a combination of both. Expert analysis allows us to determine the cause of the protrusion, and the most effective treatment plan.
With this type of bite, the front teeth are very protuded, and makes these delicate teeth highly prone to trauma, injury, and even premature tooth loss.
We have a number of different options and appliance types for correcting protruded teeth. The photos below illustrate protruded teeth, and the corrections in our patients.



















